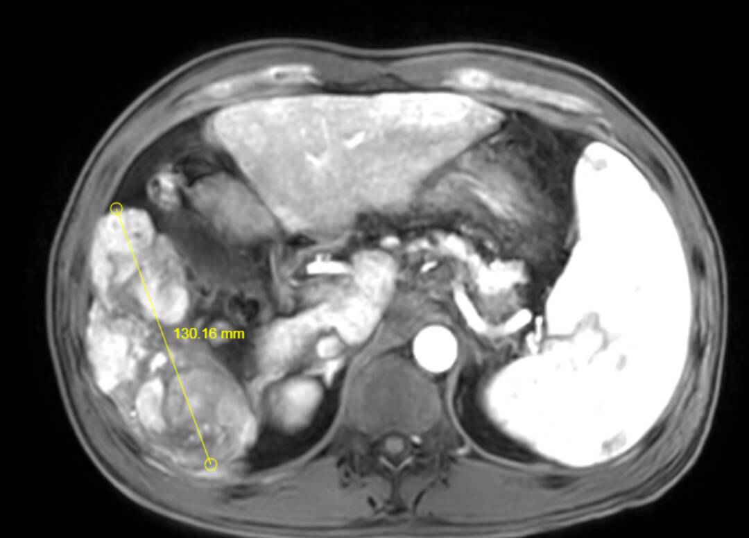
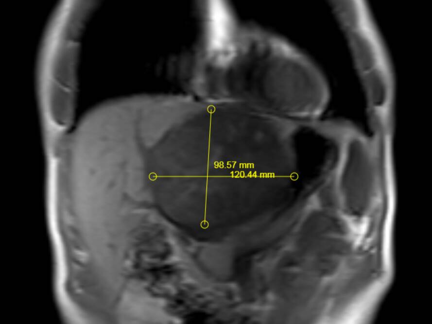
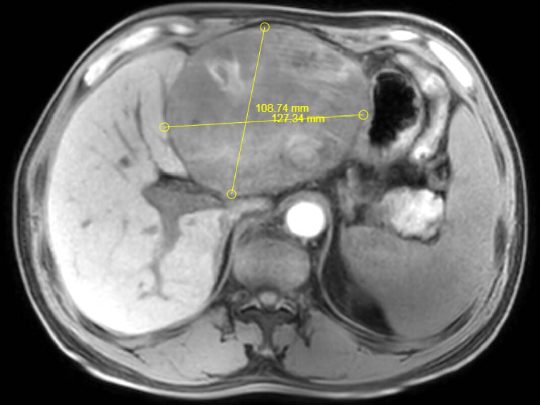
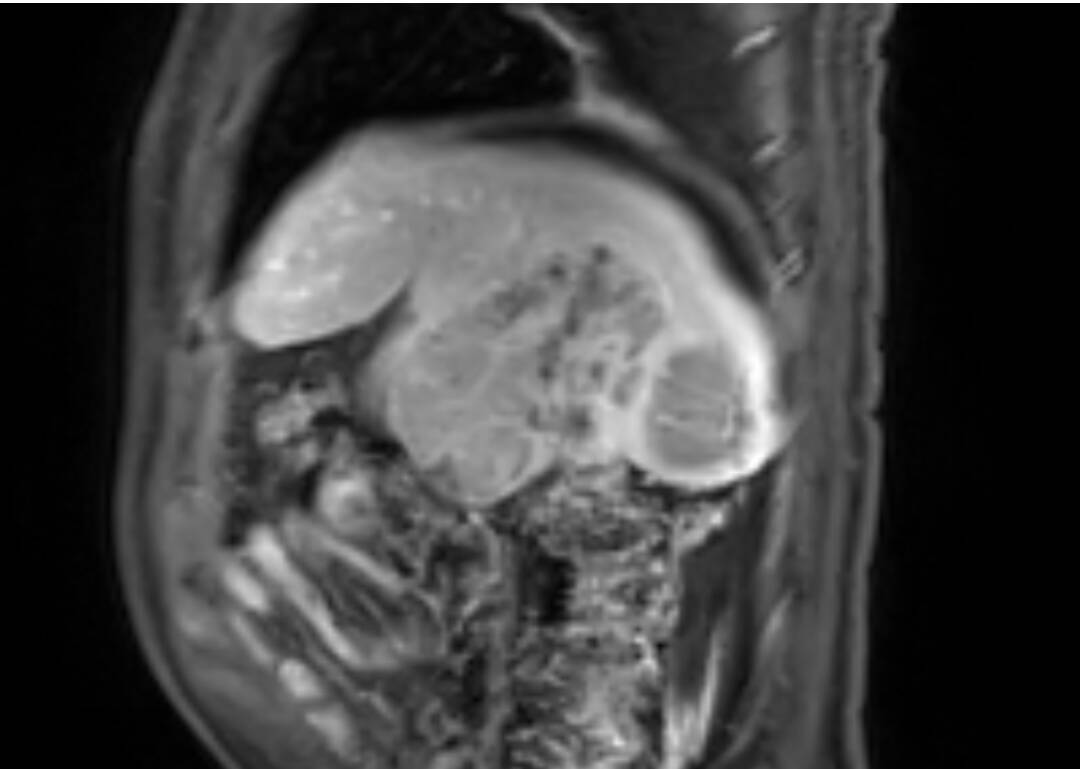
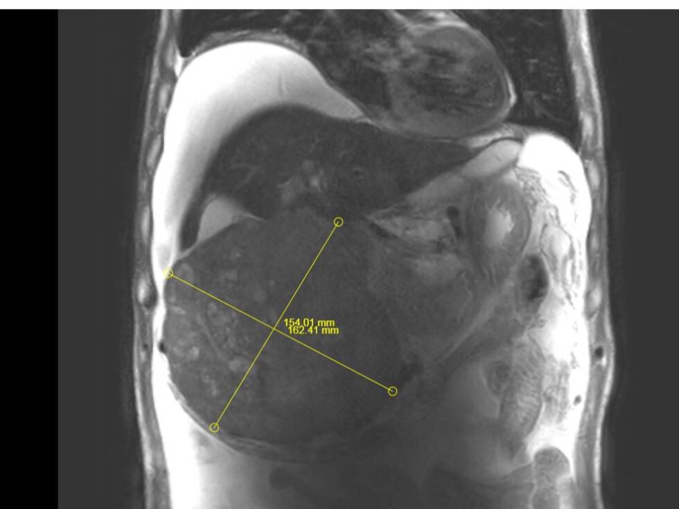
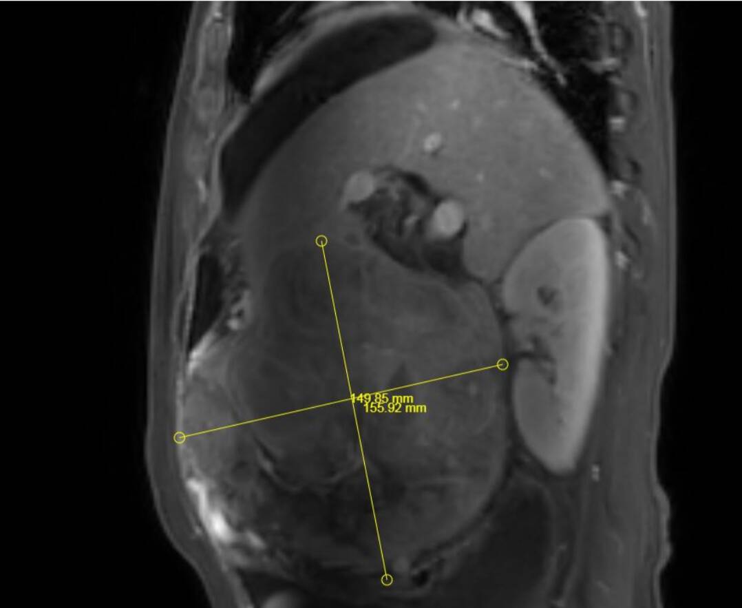
近期,山东省公共卫生临床中心普外二科顺利完成多例巨大肝癌(直径>10cm),所有患者围术期安全平稳、恢复顺利,无严重并发症,充分展现科室成熟、规范、高效的外科诊疗体系。




其中,成功为一名患者实施超大肝癌切除术,完整切除肿瘤大小达19cm×15cm,精准突破肝胆外科传统“手术禁区”,标志着普外二科在复杂肝胆肿瘤外科治疗领域迈上全新台阶。
挑战禁区:巨型“肿瘤炸弹”,难度极高
肝脏解剖结构复杂,毗邻下腔静脉、门静脉、肝动脉及胆管等重要生命结构,本身就是外科手术的“高危区域”。
此次切除的肿瘤体积巨大、血供丰富,与肝内重要血管、胆管粘连紧密,术中极易发生大出血、胆漏、肝功能衰竭等致命并发症。手术既要确保肿瘤完整根治、切缘干净,又要最大限度保留正常肝组织,难度与风险远超常规肝癌手术,对团队技术、经验与协作能力提出极高要求。



多学科攻坚:术前精评估,术中精操作
术前,科室联合影像、麻醉、重症监护、护理等多学科团队开展MDT会诊,全面评估肿瘤位置、大小、浸润范围及患者基础状况,精准规划切除路径与血管保护策略,反复推演手术流程,制定周密手术方案与应急预案,为手术成功筑牢坚实安全防线。
术中,手术团队在胡三元特聘专家与赵承乾科主任指导下,凭借精湛外科操作与丰富临床解剖经验,在高清手术视野下精细分离、逐层剥离、精准控切,妥善保护肝门部血管、胆管等关键结构,平稳完整剥离并切除巨大肿瘤,全程出血少、创伤可控,顺利完成高难度根治操作。

术后快速康复:全程守护,恢复顺利
术后,医护团队为患者量身定制快速康复(ERAS)方案,严密监测生命体征、肝功能及引流情况,及时开展抗感染、保肝、营养支持、疼痛管理与早期活动指导,助力患者快速恢复。
目前患者恢复良好,早期即可下床活动,肝功能指标稳步趋于正常,康复进程顺利。
普外二科长期深耕肝胆外科领域,以精准、微创、安全、快速康复为理念,具备多项核心技术优势:
复杂肝癌、巨大肝癌等可根治性切除。
腹腔镜肝胆微创外科手术
肝门部胆管癌、胰十二指肠癌根治术
胆道结石、门静脉高压症等外科治疗
肝胆肿瘤多学科(MDT)综合诊疗
科室依托胡三元教授专家团队强力支撑,实现从术前精准评估→术中精细操作→术后个体化康复的全流程闭环管理,在巨大肝癌、复杂肝肿瘤、高位胆道疾病等疑难重症诊疗方面经验丰富、技术成熟,让区域百姓在家门口就能享受高水平、同质化医疗服务。
此次巨大肝癌切除术的成功,是普外二科复杂肝胆外科技术的标志性突破,也是科室综合实力的有力展现。
山东省公共卫生临床中心普外二科将以此为契机,持续精进手术技艺、优化诊疗流程、强化多学科协作,不断攻克临床难题,以更精湛的技术、更优质的服务、更温暖的关怀,为广大肝胆疾病患者健康保驾护航,勇攀医学高峰!
打开“闪电新闻”看评论